
- May/June digital edition 2025
- Volume 17
- Issue 03
Taking your OCT outside of the posterior pole
Incorporating peripheral OCTs into your practice provides valuable insights that may alter your clinical diagnosis.
The optical coherence tomographer (OCT) has established itself as a standard-of-care, must-have device since its introduction over 20 years ago. When it first came to market, the time-domain resolution gave an unprecedented in vivo look at the posterior segment. Since then, OCT technology has evolved just like other ophthalmic instruments have over time. Take the fundus camera, for example. Carl Zeiss wowed the ophthalmic community in 1926 with the first commercially available fundus camera that sported a then-eye-popping 20-degree field of view.1 This pales compared with today’s imaging options, which offer a view 10 times this amount.
In a less dramatic fashion, the OCT has also moved outside of the posterior pole. Early stationary devices offered scanning protocols confined to the optic nerve and macula (ie, the most posterior 30 degrees of the retina).2 Later units such as Heidelberg Engineering’s Spectralis came mounted with 4-way swivel capability. This allowed the acquisition of more peripheral scans using a combination steering and gaze-directed technique. The addition of the 55-degree objective lens officially gave the Spectralis widefield OCT status, which is considered 50 degrees by several authors.3 Now, many other instruments offer widefield OCTs, such as the Optos Silverstone, which delivers a swept-source OCT option of any area that is viewable on a non-gaze-directed ultra-widefield (UWF) image.
The reason for obtaining peripheral OCTs (P-OCTs) lies in the clinical question to be answered: Does this apparent full-thickness retinal hole have subretinal fluid? Is this a retinal detachment or a retinoschisis? Historically, a binocular indirect ophthalmoscopy exam combined with scleral depression would help answer these questions. Now, P-OCTs provide an adjunct to this technique. Capturing these scans, however, can be tricky. Here are some tips for using the above-mentioned devices, the principles of which may apply to any instrument. Following this are some insights and lessons learned from years of employing P-OCTs.
One of the main challenges with P-OCTs is preventing image cutoff. This occurs when the B-scan is captured at such a steep scan angle that it reaches the top, flips over, and then comes back into view. This is called a “mirror” or “inverted” artifact (Figure 1).4 Remember that the eye is curved, so a straight-line scan oriented incorrectly will experience this effect. The key is to position the scan appropriately to minimize an inverted scan. To do this, capture the scan circumferentially (ie, horizontal for superior and inferior, vertical for temporal and nasal, and oblique to match the clock hours). The Spectralis allows a 360-degree scan orientation to prevent this from happening. Others, like the Optos Silverstone, only offer a horizontal scan option. In a study by Kurobe et al, over 50% of P-OCT scans experienced inverted artifacts with this device.4 However, as noted in Figure 1, clinical information can still be obtained.
A second consideration involves patient gaze and positioning. This isn’t an issue with the Silverstone as the P-OCT function, unfortunately, turns off for gaze-directed scans. This limits its ability to obtain scans in the most peripheral locations or in areas where artifacts such as lid interference may be present. However, it also streamlines the process. As only straight-ahead images are available, simply capture a non-gaze-directed UWF image and then select the desired OCT scanning protocol.
With the Spectralis, the 4-way pivot expands the scanning options of the retinal periphery. This is the steering and gaze-directed technique where, along with the patient’s gaze directed into the quadrant of interest, the machine swivels or tilts in the opposite direction. For example, have the patient look up if the area of interest is superior and then tilt the machine downward. This combination increases the scan angle (Figure 2). Stationary devices only allow for gaze-directed scans. Also, if the positioning stated above puts the eye closer or farther away from the instrument, consider adjusting the OCT control option for axial length. On the Spectralis, the range goes from “S” to “XL.” Therefore, select “S” if the eye is much closer to the instrument and “XL” if it is much farther away. This will enable a successful scan when there is a decreased or increased distance between the scan head and the retina.
Next, start with the instrument farther away from the patient, where the near-infrared image shows a more elliptical pupil due to the patient’s gaze-directed position. Use an external fixation device if available. From here, guide the instrument into the pupil until the scan appears. Once the scan is in position, employ the automatic real-time tracking (ART) option when using the Spectralis, which captures and summates sequential B-scans for enhanced resolution. For poor fixators, this may not be possible, and acquiring scans without ART will still result in readable images. If the patient is employing the “windshield wiper” technique and driving the imager crazy, consider taking the controls and performing a “live scan.” This entails dragging and rotating the line scan as needed to obtain the needed information visually without achieving a saved scan.
Don’t expect the first scans to look straight out of a journal; it takes practice. However, the acquired knowledge will result in valuable insight into peripheral retina pathology such as retinal holes, retinoschisis, lattice degeneration, cystoid degeneration, and retinal tufts, as noted below.
Atrophic holes are not always full thickness
This makes sense when you think about it. A full-thickness “atrophic” hole doesn’t just suddenly appear. Consider the word “atrophy,” which means “wasting away.” This definition implies a timeframe by which this occurs. Therefore, there must be a degenerative process that progresses over time for the atrophic retinal hole to reach full-thickness status. If this were not the case, a more appropriate term might be a focal area of retinal “hypoplasia,” which means “incomplete development” and thus would be present from onset and not go through progressive stages.
The significance here is illustrated in Figure 3A, which shows a full-thickness atrophic hole. The worry here is that vitreous fluid now has potential access to the subretinal space, which could result in a retinal detachment. Contrast this to the partial thickness atrophic hole or retinal erosion in Figure 3B, where a small amount of retinal tissue remains, which is a barrier to any overlying fluid reaching the subretinal space.
The P-OCT appearance of full-thickness retinal atrophic holes varies. Specifically, the hole’s edges may be flat or everted, and sometimes cystoid degeneration surrounds the area.5 When these are located with lattice, they rarely result in a progressive retinal detachment.6 In the American Academy of Ophthalmology’s Preferred Practice Patterns (PPP), asymptomatic atrophic holes fall into the “treatment is rarely recommended” category.7 However, the PPP does not address what the hole looks like on P-OCT. Are elevated edges more at-risk than flat ones? Do cystic spaces infer any risk? As OCT technology continues to evolve, so may its introduction into current PPP.
Not only are retinoschises more common, so are schisis detachments
After employing P-OCTs, there appears to be a greater number of clinically undetected retinoschises. The same applies to a schisis detachment, which is when an outer layer break allows intracystic fluid to reach the subretinal space, causing a localized retinal detachment (Figure 4).8 In fact, over 15% of presumed retinoschises by clinical evaluation showed a retinal detachment with P-OCT.9 Schisis detachments mostly remain stable with outer layer holes alone vs when outer and inner layer holes are present.6 The reason here is that there is a limited amount of intracystic fluid that can reach the subretinal space with an outer layer hole. However, an inner and outer layer hole opens the area up to the more voluminous vitreous fluid. Fortunately, the incidence of inner layer holes is low (4%), with outer layer holes having a prevalence of up to 17%.6
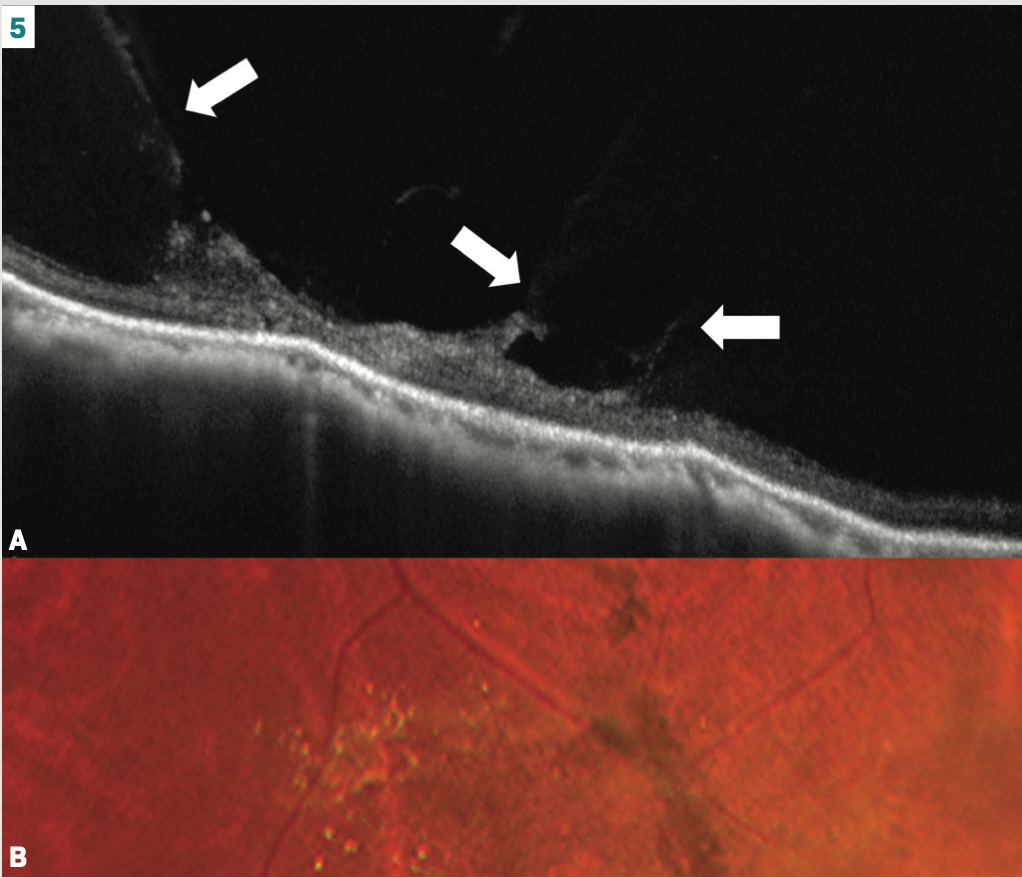
Seeing is believing: lattice and vitreoretinal interaction
Lattice degeneration presents in about 10% of patients, with a 50% chance of bilaterality.6,10 Retinal thinning is a common finding.10 Exaggerated vitreoretinal attachments and overlying vitreous liquefaction tend to occur (Figure 3B, asterisk). The vitreous traction can be striking with P-OCT (Figure 5A). It is no wonder, then, that lattice poses a risk, albeit small, for retinal detachment.
Cystoid: the forgotten peripheral degeneration
Cystoid degeneration is often overlooked, but the entity can have clinical significance. Microcystoid degeneration, which does not involve the entire retina, is thought to be a precursor to the above-mentioned degenerative retinoschisis, where the cystic lesions coalesce (Figure 6A).5,6 It can also occur with a retinal hole, meridional fold, ora serrata pearl, and cystic retinal tuft.3 Contrast this to typical cystoid degeneration, which takes on a “saw-tooth” pattern and spans the entire retina (Figure 6B).3
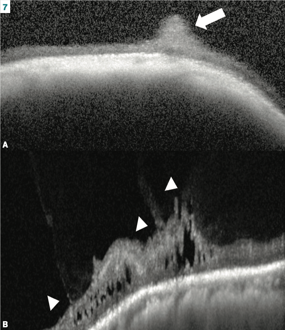
Not all retinal tufts are created equal
Although noncystic retinal tufts typically do not lead to retinal detachment, cystic retinal tufts can. Retinal tears around cystic retinal tufts are estimated to cause 10% of rhegmatogenous retinal detachments.5 Making this distinction clinically is difficult and is much easier with P-OCT (Figure 7).
Final thoughts
As technology continues to advance, it may not be long before the entire peripheral retina can be captured using OCT technology. Therefore, put your OCT to work in the periphery now and stay ahead of the learning curve with interpretation.
References:
Chen A, Dang S, Chung MM, et al. Quantitative comparison of fundus images by 2 ultra-widefield fundus cameras. Ophthalmol Retina. 2021;5(5):450-457. doi:10.1016/j.oret.2020.08.017
Nissen AHK, Vergmann AS. Clinical utilisation of wide-field optical coherence tomography and angiography: a narrative review. Ophthalmol Ther. 2024;13(4):903-915. doi:10.1007/s40123-024-00905-2
Choudhry N, Golding J, Manry MW, Rao RC. Ultra-widefield steering-based spectral-domain OCT imaging of the retinal periphery. Ophthalmology. 2016;123(6):1368-1374. doi:10.1016/j.ophtha.2016.01.045
Kurobe R, Hirano Y, Ogura S, Yasukawa T, Ogura Y. Ultra-widefield swept-source optical coherence tomography findings of peripheral retinal degenerations and breaks. Clin Ophthalmol. 2021;15:4739-4745. doi:10.2147/OPTH.S350080
Cheung R, Ly A, Katalinic P, et al. Visualisation of peripheral retinal degenerations and anomalies with ocular imaging. Semin Ophthalmol. 2022;37(5):554-582. doi:10.1080/08820538.2022.2039222
Lewis H. Peripheral retinal degenerations and the risk of retinal detachment. Am J Ophthalmol. 2003;136(1):155-160. doi:10.1016/s0002-9394(03)00144-2
Flaxel CJ, Adelman RA, Bailey ST, et al. Posterior vitreous detachment, retinal breaks, and lattice degeneration Preferred Practice Pattern. Ophthalmology. 2020;127(1):P146-P181. doi:10.1016/j.ophtha.2019.09.027
Byer NE. Perspectives on the management of the complications of senile retinoschisis. Eye. 2002;16(4):359-364. doi:10.1038/sj.eye.6700191
Cereda MG, Corvi F, Cozzi M, Pellegrini M, Staurenghi G. Optical coherence tomography 2: diagnostic tool to study peripheral vitreoretinal pathologies. Retina. 2019;39(2):415-421. doi:10.1097/IAE.0000000000001953
Kim J, Choi KS. Peripheral lattice degeneration imaging with ultra-widefield swept-source optical coherence tomography. Korean J Ophthalmol. 2023;37(6):485-489. doi:10.3341/kjo.2023.0074
Articles in this issue
4 months ago
The toxic truths in eye health5 months ago
What do we lose if we do not value residencies?Newsletter
Want more insights like this? Subscribe to Optometry Times and get clinical pearls and practice tips delivered straight to your inbox.



















































.png)


