
Knowing your glaucoma vitals is key to providing best treatment for patients.
Anupam Laul, OD, FAAO is an assistant clinical professor at SUNY College of Optometry.

Knowing your glaucoma vitals is key to providing best treatment for patients.

Watch the latest installment of our video series!

Review treatment options for both early and late complications of cataract surgery.

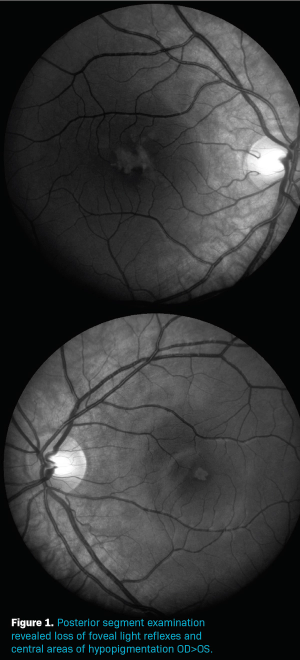
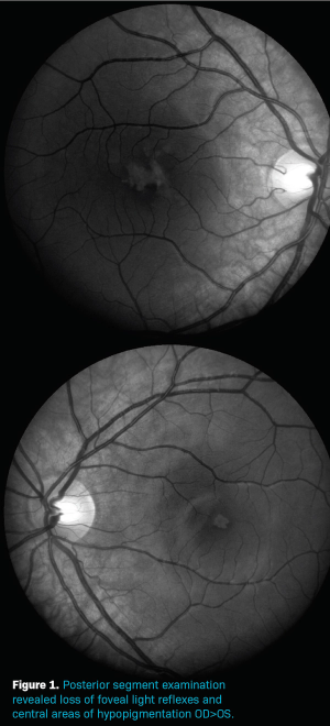
OCT demonstrates damage from laser pointer

Cases illustrate how acute and chronic angle-closure glaucoma are treated

ODs who utilize technology will advance modern optometric care.

Published: January 30th 2022 | Updated:

Published: September 16th 2021 | Updated:

Published: September 12th 2021 | Updated:

Published: November 6th 2021 | Updated:

Published: July 4th 2022 | Updated: