
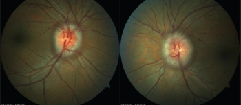
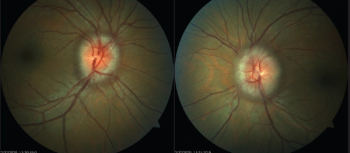
Four patients present with previously undiagnosed conditions.
Dr. Fluder has been in practice for 22 years and currently practice at Williams Eye Institute in Merrillville, IN. She is a member of the American Optometric Association and the Indiana Optometric Association. She has no financial interest in any of the d

Four patients present with previously undiagnosed conditions.

Case study shows multiple factors determine best course of treatment for this rare disease

As primary-care optometrists, we are the gatekeepers for baby boomers inquiring about cataract surgery. Today’s patients have treatment options available not only to address their lifestyle complaints but to provide them with better vision and possibly reduced dependence on glasses or contact lenses.

Effectively manage patients through diagnosis and interpretation

Published: March 21st 2017 | Updated:

Published: November 22nd 2016 | Updated:

Published: March 10th 2020 | Updated: