
Daniel Epshtein, OD, FAAO
Advertisement
Articles by Daniel Epshtein, OD, FAAO

Advertisement
Latest Updated Articles
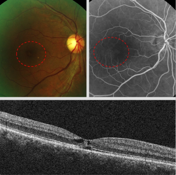
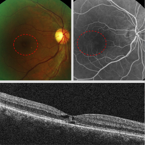
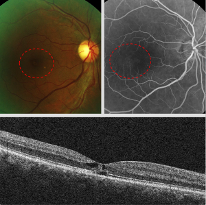
Imaging aids in differential diagnosis of uncommon diseasePublished: October 29th 2018 | Updated:
Advertisement
Advertisement

Published: October 29th 2018 | Updated: