
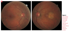
Although the differential diagnosis of pigmented fundus lesions is limited, the distinctions among these lesions are not always clear.

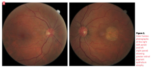
Although the differential diagnosis of pigmented fundus lesions is limited, the distinctions among these lesions are not always clear.

The good, the bad, and the questionable.

This podcast provides a review of some of the key highlights from the Controversies in Modern Eye Care meeting held in April 2023. The program is designed for those who did not attend the live meeting and to help reinforce learnings for those who did.

Prevention should be at the forefront of the discussion.

Lattice retinal degeneration is the most significant peripheral retinal change associated with retinal detachment. Generally, it is a stable condition without symptoms unless the complication of a retinal tear develops, which can lead to retinal detachment. There are a number of presentations among patients, who can be of a young age and have almost any refractive correction.

Leo Semes, OD, shares highlights from his presentation on early detection of AMD, which he presented during the 17th annual Controversies in Modern Eye Care.

Leo Semes, OD, FAAO, shares key highlights from his EyeCon 2022 presentation, "Advances in therapies for retinal disease."

Multiple sclerosis is a neurodegenerative disease with ophthalmic manifestations. Although some cases come to attention following an attack of optic neuritis, embedded optic atrophy can be observed in other, longer-standing cases.

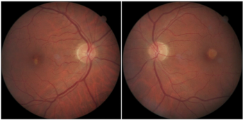
This case illustrates stability of an extrafoveal lesion without vision loss.

Leo P. Semes, OD, FAAO, highlights his presentation on "Artificial intelligence and telemedicine," presented during the 115th annual SCOPA meeting.

Leo P. Semes, OD, FAAO, discusses his presentation on, "A new look at AMD," during the South Carolina Optometric Physicians Association's annual meeting.

Leo P. Semes, OD, FAAO, discusses his presentation on, "When glaucoma isn't glaucoma," during the South Carolina Optometric Physicians Association's annual meeting.

Case report details diagnosis based on imaging diagnostics.

Diagnosis highlights overlooked treatments for this disease

Evolving techniques may offer better long-term outcomes for patients

Remain vigilant to recurrences to apply potential treatments

Appropriate identification and management of pigmented fundus lesions can be made clinically

Angioid streaks are due to Bruch membrane disintegration, not elastic deterioration

Considerations in the treatment of diabetic retinopathy and diabetic macular edema.

A wrinkled retina suggests detachment, but additional clinical findings prove otherwise

Apply lessons learned in glaucoma to treating macular degeneration

Imaging reveals diabetic retinopathy, cotton wool spot, and resulting RNFL defect.

Relationship between these two clinical structures difficult to assess without imaging.

RNFL defects are associated with glaucomatous optic neuropathy and secondary to optic disc drusen.






Undiagnosed ocular trauma could lead to more complicated ocular problems for patients if left untreated. Leo P. Semes, OD, FAAO, looks at one case in which optical coherence tomography angiography (OCT-A) helped diagnose and treat a patient successfully.

Published: June 10th 2022 | Updated:

Published: October 4th 2021 | Updated:

Published: August 26th 2022 | Updated:

Published: October 8th 2022 | Updated:

Published: August 11th 2020 | Updated:

Published: November 1st 2020 | Updated: