
What we should be telling our patients about the remission of type 2 diabetes with weight loss.

What we should be telling our patients about the remission of type 2 diabetes with weight loss.

Walkable communities could aid in reduction of type 2 diabetes.

The agent class’s pleiotropic effects should keep optometrists vigilant.

Practice owners testify to the importance of trying new things, not being afraid to fail, and utilizing community as a resource when starting up a new practice.

Studies point to an inverse association between diabetes and keratoconus risk.

According to A. Paul Chous, MA, OD, FAAO, optometrists have an important opportunity to educate patients in their chairs about diabetes.

A. Paul Chous, MA, OD, FAAO, details a presentation on this year's updates on diabetes given at this year's Academy meeting.

Kelly K. Nichols, OD, MPH, PhD, FAAO, and A. Paul Chous, OD, MA, FAAO, co-chairs of EyeCon 2024, discussed the first day of the conference, which featured talks on thyroid eye disease, refractive technologies, and red flags in patient care.

It’s time to act with a few rational and relatively modest proposals.

Amid conflicting findings, factors such as dosage, patient characteristics may affect outcomes.

This article outlines which medications may be best to take to mitigate the onset of type 2 diabetes through weight loss, in addition to lessening sugar intake and other eating habits.

Kelly K. Nichols, OD, MPH, PhD, FAAO, and A. Paul Chous, OD, FAAO, recap the diverse topics at EyeCon 2023, emphasizing the collaborative spirit between optometrists and ophthalmologists in addressing issues such as myopia management, diabetic eye conditions, cataract surgery, and patient referrals.

Counsel your at-risk patients on strategies to minimize severe hypoglycemia.

Drs Paul Chous and Jeffry Gerson brought a new spin on the diabetes talk they've been presenting the last 18 years at the American Academy of Optometry annual meetings.

T1D is one of the most common chronic diseases affecting pediatric populations.

Hear from A. Paul Chous, OD, MA, FAAO, and what to look forward to during the 2023 EyeCon meeting December 1-2 in Sanibel Harbour, FL.

Insights for eye care providers.

These disorders account for most of the vision loss in working-age and elderly Americans.

Paul Chous, MA, OD, FAAO, shares key highlights from his 2023 SECO presentation looking at sleep disorders and how they play a role in eye disease.

Paul Chous, MA, OD, FAAO, gives key takeaways from his 2023 SECO presentation on diabetes: then and now.

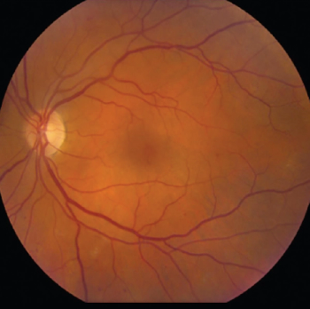
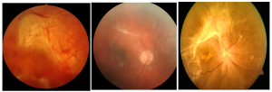
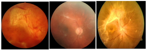
These results emphasize the importance of evaluating the midperipheral and peripheral retina in diabetes in addition to the posterior pole and performing ultra-widefield fluorescein angiography for not only accurate diabetic retinopathy staging, but also for likelihood of significant progression based on disease severity and predominantly peripheral lesions.

Optometry Times' EyeCon co-chairs Kelly K. Nichols, OD, MPH, PhD, FAAO, and A. Paul Chous, MA, OD, FAAO, reflect on the 2023 EyeConversations keynote address, which covered new technology, artificial intelligence, and an update in pharmacology.

Case history can give clues to a patient’s risk of developing diabetic eye disease.

Optometry Times®' EyeCon 2022 co-chairs Kelly K. Nichols, OD, MPH, PhD, FAAO, and A. Paul Chous, MA, OD, FAAO, sat down with Ben Casella, OD, FAAO, chief optometric editor for Optometry Times® to chat all-things EyeCon 2022.

Optometry Times®' EyeCon 2022 co-chairs Kelly K. Nichols, OD, MPH, PhD, FAAO, and A. Paul Chous, MA, OD, FAAO, sat down with Ben Casella, OD, FAAO, chief optometric editor for Optometry Times® to chat all-things EyeCon 2022.

Optometry Times®' EyeCon 2022 co-chairs Kelly K. Nichols, OD, MPH, PhD, FAAO, and A. Paul Chous, MA, OD, FAAO, sat down with Ben Casella, OD, FAAO, chief optometric editor for Optometry Times® to chat all-things EyeCon 2022.

Optometry Times®' EyeCon 2022 co-chairs Kelly K. Nichols, OD, MPH, PhD, FAAO, and A. Paul Chous, MA, OD, FAAO, sat down with Ben Casella, OD, FAAO, chief optometric editor for Optometry Times® to chat all-things EyeCon 2022.

New DME treatments aim to extend time between intravitreal injections.

A. Paul Chous, OD, discusses his presentation, “Current treatment of diabetes" during the AOA's Optometry Meeting.

The ADA now recommends an individualized approach at diagnosis of diabetes as well as for adults who do not have symptoms to be screened at age 35 years.

Published: September 28th 2024 | Updated:

Published: August 19th 2021 | Updated:

Published: August 22nd 2022 | Updated:

Published: January 4th 2021 | Updated:

Published: July 28th 2025 | Updated:

Published: August 13th 2020 | Updated: