
Addressing common misconceptions can help avoid misconstrued scientific facts

Addressing common misconceptions can help avoid misconstrued scientific facts

Timing is key in reducing the risk of developing vision loss or blindness.

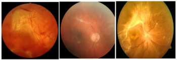
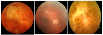
Diabetic papillitis is relatively rare, found in type 1 and 2 diabetes patients

Prescribed sleep hygiene may reduce the risk of severe eye disease and vision loss

Automated detection of disease helps patients as well as doctors

Practitioners need to educate and stress the importance of additional care











Considerations for eyecare providers to better care for their patients with diabetes

Considerations in the treatment of diabetic retinopathy and diabetic macular edema.

Patients who switched to as-needed dosing experienced increased complications

New evidence provides ODs with increasingly accurately gauge of patients’ diabetes control and risk of vision loss.

A tricky case posed some diagnostic challenges until an unexpected error message presented

Extensive testing, consultation with primary-care doctor key to proper treatment






Non-eyecare practitioners will be screening your patients for diabetic retinopathy. Find out why this can help or hurt your patients and how you can help guide the process.


ODs may wish to incorporate color vision testing when working with patients having diabetes. A. Paul Chous, MA, OD, FAAO, CDE, talks about the importance of these tests, incorporating them into day-to-day exams, and devices available.