
Nasal spray may fill the gaps left by artificial tears.

Nasal spray may fill the gaps left by artificial tears.

Technologies that improve treatment of ONHD and similar pathologies.

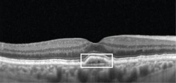
Imaging can elucidate visual prognosis and disease progression risk.

These disorders account for most of the vision loss in working-age and elderly Americans.

The pros and cons of LASIK, PRK, EVO, SMILE, and RLE/CLE.

How one OD incorporated full-service dry eye treatment.

The ones you should seek out—and avoid.

Empowering individuals to take greater ownership of their visual health.

Treatment should be adjusted based on disease severity.

Lessons learned during 30 years in the industry.