
A protocol of patient questions and clinical measurements can show a need for therapy

A protocol of patient questions and clinical measurements can show a need for therapy

Novel corneo-scleral contact lens offers visual rehabilitation in irregular corneas

Ophthalmic corticosteroids optimize outcomes in patients with ocular inflammatory conditions

Understand dry eye’s various factors and causes to get ahead of the treatment curve

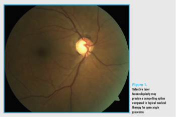
Research provides insight into selective trabeculoplasty, YAG capsulotomy, peripheral iridotomy

Flip the eyelids to uncover the clinical features of allergic conjunctivitis

When patients experience symptomatic flares, go into overdrive and fight back fast

Learn how to better help your patients with this often debilitating form of headache

quick quiz on new technology

Have a plan when infection occurs

Consider sleep apnea, congenital or acquired hemochromatosis, vitamin D deficiency, and diet

ODs have an opportunity to make a difference in their patients’ lives

Vaccines and variants are top of mind
