
Roland Therriault, president and executive vice president of sales at InSync Healthcare Solutions, says it’s important for a forward-thinking telehealth vendor to offer the following

Roland Therriault, president and executive vice president of sales at InSync Healthcare Solutions, says it’s important for a forward-thinking telehealth vendor to offer the following

Building a plan beyond the pandemic

Follow these 4 suggestions to gracefully and safely let an employee go

Educate providers, build a referral network, and add tools of the trade


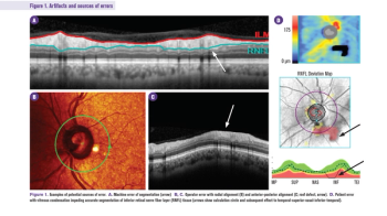
Automated detection of disease helps patients as well as doctors

Patient questionnaires differ in length, focus, and validity

FDA review pathway looks to balance innovation with data review

Avoid color-scheme bias and vet all data before making treatment decisions