
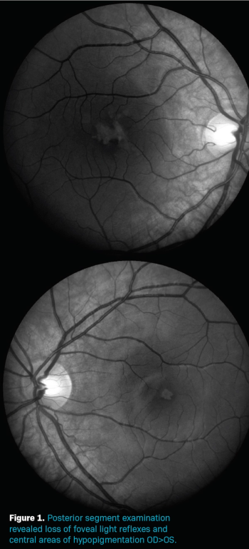
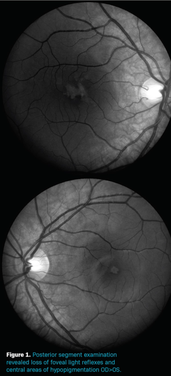
OCT demonstrates damage from laser pointer

OCT demonstrates damage from laser pointer

Practitioners spend more time diagnosing glaucoma or diabetic retinopathy than AMD

Know the facts, not misinformation, about slowing or halting disease progression

Cases illustrate how acute and chronic angle-closure glaucoma are treated

Innovative treatment options reflect a shift in focus

Go beyond flattering frames by enhancing appearance from the exam chair