
November digital edition 2020



Each option has advantages and disadvantages for ODs

Vision deficit associated with stroke is common, and many ODs will see these patients in their chairs

These options increase the depth of field to address the symptoms of presbyopia

Considerations for eyecare providers to better care for their patients with diabetes

Go beyond dilated exams and macular optical coherence tomography

Should your practice outsource its billing services, and if so, to whom?

Ocular surface disease is chronic, and collaborative care is key to treatment success

New study looks at patient lifestyle and hygiene risk factors for corneal infection

Thinning of the lamina cribrosa could be a biomarker for cognitive impairment

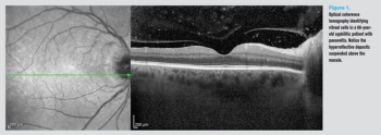
Use of intravitreal biologics, steroids, and improvements to vitreoretinal surgical techniques have improved the prognosis of vitreoretinal conditions. Ocular hypertension, which may lead to secondary open-angle glaucoma, is a common complication both short- and long-term following intravitreal injection of anti-VEGF or steroid agent and PPV—especially when silicone oil is used as a tamponade agent. Understanding these potential risks is key to early detection, diagnosis, and management following vitreoretinal procedures.

Optometry is one big family

Trace the path of diabetic retinopathy disease via images.



.png)


