
OCT
Latest News
Latest Videos

CME Content
More News

Joseph Izatt, PhD, was known for his excellence in mentorship and his work as a researcher that helped develop and advance optical coherence tomography technology, according to a news release.

At-home devices challenge commonly held beliefs on IOP measurements, visual field testing, and imaging.

The kidney and eye are structurally and functionally similar, and the diseases of the organs may present similarly and via common pathways.

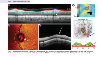
Evaluating images for quality, artifacts, and segmentation errors.

Neurofibromatosis type 1 (NF1) is a condition associated with significant systemic morbidity. Abnormal proliferation of cells derived from the neural crest can cause benign and malignant tumors throughout the body in NF1.

A look back on what happened in optometry during the week ofMarch 27-March 31.

Technologies that improve treatment of ONHD and similar pathologies.

Imaging can elucidate visual prognosis and disease progression risk.

Advancements enable better diagnosis, treatment of patients.

OCT showed inner retinal hyperreflectivity, diffuse retinal thickening with intraretinal fluid, and a serous macular detachment.

Evaluating accuracy of biometry is paramount in eyes with history of retinal pathology

OCT demonstrates damage from laser pointer

Avoid color-scheme bias and vet all data before making treatment decisions

This imaging technique provides depth-resolved images of retinal vasculature.

Retinoschisis can make diagnosing open-angle glaucoma especially difficult for optometrists.

Misdiagnosing neuropathy and over-reliance on OCT imaging results are two examples









 
 























































.png)


